Whenever you hear “fracture,” it can be scary–especially as a parent. You may be thinking that your child will spend weeks to months in a cast and then even more time restrengthening the limb they injured. While this may be true for fractures in general, buckle fractures are quite different.
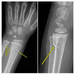
What are Buckle Fractures?
Buckle fractures occur typically in youth athletes under the age of 13- most commonly between the ages of 5 and 10. The bones at this age are not fully developed in the wrists, so, in the event of a fall, the bone actually buckles or folds.
When do Buckle Fractures Occur?
These fractures are common in many youth sports. For example, in lacrosse, if the wrist is hit with the stick just right, a buckle fracture can occur. However, the most common way to experience a buckle fracture is if your child experiences a F.O.O.S.H.- or a fall on an outstretched hand.
A F.O.O.S.H. in adults can result in a fracture or a break, but, for children, the bones in the wrist are not fully developed. Sometimes, this means that, instead of a fracture or a break, a less traumatic fracture–a buckle fracture–occurs. The bones, instead of breaking under the pressure of a fall, fold. This doesn’t mean that more traumatic injuries never happen when a F.O.O.S.H. occurs, but your kids are really resilient, and so are their bones!
Learn How to Fall
Whether your child is playing soccer or riding mountain bikes, learning how to fall is a great skill to have to prevent buckle fractures! While it may be in our nature to attempt to catch ourselves when falling, being able to tuck and roll instead can help prevent wrist injuries such as buckle fractures.
Healing From a Buckle Fracture
Typically, buckle fractures take two to three weeks to heal with a flexible ace wrap or removable brace. Your pediatric orthopedic doctor will make specific recommendations for your child to help them return to their sport.
If, after the 2–3 week period, your child is still in pain but has been determined as healed by the pediatric orthopedic, a Spooner hand therapist can help strengthen and stabilize the wrist. Even with a couple of weeks of immobilization, there can be muscle atrophy, so we work with the entire upper kinetic chain to make sure your child is strong enough to return to sport safely.
Schedule an appointment with a Spooner hand therapist today!
References
- Cleveland Clinic. (2021, Dec. 27). Buckle Fractures (Impacted Fracture). Cleveland Clinic. https://owl.purdue.edu/owl/research_and_citation/apa_style/apa_formatting_and_style_guide/reference_list_electronic_sources.html

